Home
Despre Noi
Viziune
Servicii
Laser Sintering
Tehnologie
Galerie
Video
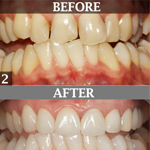
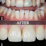
Laborator
Cazuri
Galerie
Contact
Home
/
Media
/
Laborator